编辑:花期
责任编辑:SONG
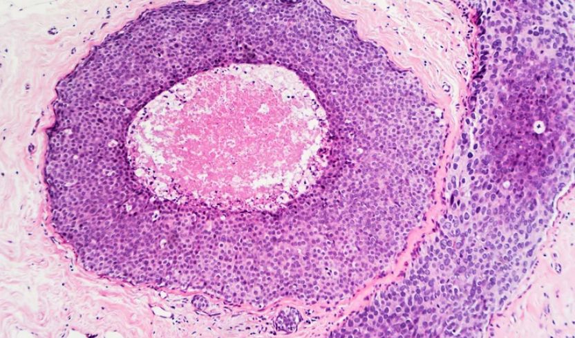
1 乳管中的DCIS
图自 Gwen Shockey/Getty
每个乳房都有大约15到20个乳管,在女性中,它们充当将乳汁运到哺乳婴儿的运送通道。
当乳腺导管中的一个细胞发生类癌细胞的突变和繁殖时,DCIS就产生了。
新诊断的乳腺癌大约五分之一是DCIS。由于这些细胞通常被限制在导管中,并且不会扩散到周围组织,所以DCIS也被称为0期乳腺癌或有时候是癌前期病变。
“原位”是指“在原来的位置”,表示癌细胞不会离开导管。
2 DCIS并不是癌症
图自 rightdx/Getty
纽约大学Langone健康中心医学肿瘤学家Marleen Meyers博士说:“患者一定要明白,尽管DCIS有‘癌症’一词,但实际上并不是癌症。”
“癌症之所以为癌症的必要条件是它能够扩散且不断增长,但DCIS仅仅局限在乳腺导管中,并不会扩散。”
所以大家不用恐慌,但应重视,因其仍存在一定风险。
3 DCIS的初诊—乳房X光
图自Caiaimage/Agnieszka Wozniak/Getty
对于大多数人来说,DCIS的初窥一般在常规乳房X线片子上。“一般在做乳房X线时会发现一个由大小形状不正常的细胞组成的钙化灶,考虑DCIS,可通过活检确诊。”Meyers博士说。
也有常规检查考虑DCIS的病例,如体积较大的乳房结块;或部分DCIS患者也可能出现不寻常的乳头溢液,称佩吉特氏病,其乳头周围皮肤粗糙且干燥。
4 DCIS的诊断技术一路攀升
图自 Glow Wellness/Getty
俄亥俄州立大学综合癌症中心乳腺放射肿瘤学主任医师Julia White说:“我们发现近20年来DCIS的确诊数大幅增加。从20世纪90年代的DCIS年诊断数18000例涨到现在的60000多例。”
“究其原因是由于女性接受乳房X光检查已成常规,且随着诊断技术的提高,即便很微小的病变我们也能检出。”
值得高兴地是女性安全意识普遍提高,早发现,早治疗,在DCIS真正癌变之前防患于未然(据ACS报道,未经治疗的DCIS癌变的概率为20%-50%)。
但同时也需要我们提高警惕的是,目前对于DCIS癌变后癌细胞具体会侵入哪个器官仍无知晓,所以专家提出目前真正的危险其实是过度诊断和过度治疗。
5 DCIS预后很好
图自 JGI/Jamie Grill/Getty
由于DCIS是无创性的,患者治疗后恢复和长期存活的几率接近100%。
2015年美国医学会杂志肿瘤学研究发现,无论采取何种治疗方式,在未来20年内只有大约3%的DCIS患者死于乳腺癌。这一比例与未患病的普通人群相似。
2017年欧洲癌症大会上发表的一项研究发现,同未患病的普通人群相比,50岁以上的DCIS妇女在未来10年左右死亡的可能性更小。
这可能是由于经常参加乳腺癌筛查的女性,其健康状况和社会经济状况也会相对较好。
6 DCIS患者与其他癌症
图自 DAVID MACK/Getty
0期乳腺癌的确也有风险。研究表明,DCIS患者在乳房切除术后有1%至2%的可能性发展为浸润性乳腺癌,而乳房肿瘤切除后患此病的几率更高。
“当你患有DCIS时,这意味着你患另一种DCIS或浸润性乳腺癌的风险高于一般人群,”Meyers博士说。
“细胞突变通常会同时发生在多个导管中,偶尔这些突变的细胞可能会突破导管形成浸润性乳腺癌,至于为何这极少数细胞会浸润而其它不,其原因目前也未可知,所以现在我们要做的,只能是对其所有病例均进行手术治疗,或行其他疗法。”
7 肿瘤大小很重要
图自 ANDRZEJ WOJCICKI/Getty
DCIS患者通过手术治疗切除异常组织后,下一步就是评估她复发或转为更具侵袭性的癌症的风险。
White博士指出,进行评估时一个重要因素就是DCIS的大小。当DCIS病变组织大于20到25毫米,一般会建议再进行其他治疗,如放疗或激素治疗。
8 DCIS的“核级”
图自 Luc / STOCK4B/Getty
“核级”即根据活检时DCIS细胞中细胞核的状态,将DCIS分级。
DCIS分级有三:
低级,或1级(看起来最像正常的,健康的细胞);
中级,或2级;
高级,或3级(看起来最不正常,增长最快的细胞)。
级别越高,患者患浸润性乳腺癌的可能性越大,DCIS复发的可能性越大。
9 DCIS与基因测试
图自 TEK IMAGE/SCIENCE PHOTO LIBRARY/Getty
Oncotype DX基因组测试,通过对DCIS活检样本12种不同癌症相关基因活性的研究,来确定DCIS患者罹患其他癌症的风险。
“基因测试以DCIS评分的形式反馈给患者,从0到100分,预示未来10年内DCIS复发或癌症浸润的可能性,”white博士说。
“我比较希望患者能够保住乳房,所以如果他们复发风险很高,我们推荐放射治疗,以预防侵袭性癌症。”
Memorial Sloan Kettering癌症中心还开发了一种免费在线评估工具,可帮助DCIS患者根据年龄,家族史以及他们自身肿瘤的详细信息来评估他们患上其他癌症的风险。
10 DCIS的手术治疗
图自 Pradit_Ph/Getty
DCIS一般可通过乳房肿瘤切除术去除,该手术可保留周围乳房组织。(但如果DCIS已浸润多个导管或肿瘤体积较大,建议通过乳房切除术去除整个乳房。)
在进行乳房肿瘤切除术时,外科医生的目标是去除所有癌细胞,并在边缘多去除2mm健康细胞。这有助于确保癌症细胞100%被移除,并降低复发的风险。
根据病情,部分DCIS患者会选择跳过手术,只进行保守治疗并密切观察。
11 DCIS的放射治疗
图自 Image Source/Getty
手术完成之后,医生可根据基因组测试,或患者年龄,家族史,肿瘤大小和分级等因素,与患者共同决定,是否需要进一步治疗,以降低DCIS复发或转为浸润性癌症的风险。
Meyers博士说:“几年前,所有DCIS患者都会进行放射治疗,但现在,我们只会有选择性的对部分具有适应症的DCIS患者进行放射治疗,尽量减少接受放射治疗的患者的数量。”
“因为放射治疗有一定的副作用,而且目前无有效证据能够证明放射治疗可延长DCIS患者的寿命。它仅仅只能降低另一种癌症发生的风险。”
“因此,患者应该仔细权衡利弊,并做出最切合自身情况的决定。”
12 DCIS的激素治疗
图自 Hero Images/Getty
对于一些DCIS患者,服用阻断性激素类药物他莫昔芬,或芳香化酶抑制剂产生的药物,也可降低DCIS复发或转为浸润性癌症的风险。
但这些药物也有一定的副作用,且其降低复发及浸润性癌症风险的效果因人而异。
判断患者是否适合用此类药物,应检测DCIS细胞是否有雌激素和孕激素受体。
Meyers博士说:“大多数女性都会有雌激素和孕激素受体。但对于那些没有此类受体的人来说,不建议使用阻断性激素类药物治疗,因为他们对此无效,甚至可能会有其他安全隐患。”
“与放射疗法一样,此类激素药还未被证实可延长DCIS患者的存活率,只能被用来降低患另一种癌症的风险。”
“患者应该考虑他们的个体风险因素来决定是否进行后续治疗。治疗过程中,如有任何不适,均应及时终止治疗。”
13 化疗并非必要
图自 Getty
由于DCIS是非侵入性的,因此不宜使用作用于整个机体的化疗药,此类药物可能产生很多副作用,包括恶心和呕吐,脱发,疲劳和生育问题。
病理报告显示DCIS病灶中的癌细胞很少(仅占所有癌症诊断的1%以下)。
若DCIS病灶中的癌细胞已经开始突破导管壁,称为具有微侵袭性的DCIS或DCIS-MI。
研究表明化疗药物对DCIS-MI的病例有益,但具体作用仍需研究。
14 男性也会患DCIS
图自 Tamara Erbacher/Getty
男性也有乳腺导管,因此也会患DCIS。但其几率少之又少。
但由于男性并不会做常规乳房X线,因此不会提前发现乳腺癌,直到乳腺癌晚期,因肿瘤较大,而在体检时被发现。
Meyers博士指出,男性DCIS的治疗和预后通常与其大小和分级相似的女性相同。
15 患DCIS无关年龄
图自 Tamara Erbacher/Getty
Meyers医生指出,“在任何年龄段,都有可能患DCIS”。40岁以上的女性检出率较高,因为这个年龄段,女性通常开始做常规乳房X光检查。
根据美国癌症协会的资料,DCIS患病率随年龄增长而增加,并在70岁至79岁时达到峰值。
50岁以下DCIS的女性患者,复发率或浸润性癌症的比例更高,一般采取根治性治疗。而超过50岁的DCIS患者则不必恐慌,因为这并不会增加他们提前死亡的风险。
16 DCIS与浸润性乳腺癌
图自 bowdenimages/Getty
Meyers医师表示:“增加女性患DCIS的风险的因素实际上与患浸润性乳腺癌相同。” 例如,家族史,特别是当家族中的一名女性高危BRCA基因突变检测阳性。
雌激素是罹患DCIS和浸润性乳腺癌的一个重要因素,这意味着女性若开始月经较早,或进入更年期较晚,均会增加患DCIS和浸润性癌症的风险。
另外,未生育的女性以及30岁以后第一次怀孕的女性也同样风险较高。
17 生活方式对DCIS的影响
图自 Portra/Getty
DCIS是可以规避的。Meyers博士表示,多吃水果和蔬菜,保持健康的体重,限制饮酒都可降低乳腺癌的发病率,并且这些好习惯可以帮助您规避任何一种乳腺癌的发生。
根据2014年在‘癌症,流行病学,生物标记和预防’期刊上的一项研究,对于已经患有DCIS的女性来说,减少饮酒可能会降低其复发风险。
作者在其论文中写道:“酒精摄入可能增加二次乳腺癌发病的风险,但可能不会大大增加二次乳腺癌患者的死亡率,尤其是曾患DICS的患者。”
18 DCIS不影响母乳喂养
图自 KidStock/Getty
Meyers博士指出:“尽管DCIS影响乳管,但并不一定意味着女性在诊断和治疗后怀孕产不了乳汁。”
“只要患者只进行了手术治疗,且病变距离乳头不太近,则DCIS不会对怀孕或哺乳造成影响。”
“但如果患者除了接受手术治疗外还接受过放疗或激素治疗,则应请其主治医师进行评估,以确保不会有问题。”
19 DCIS诊断新困惑
图自 takasuu/Getty
“内科医学年鉴”最近的一项研究发现,当诊断乳腺活检样本时,约8%病例的诊断结果存在争议,其中大部分是DCIS的诊断。约19%的DCIS病例被过度诊断,错被归为更高分级或浸润性癌症;约12%的病例解释不清,或被错误地归为较低分级。
作者写道,非侵入性乳腺病变代表了医学中的“灰色区域”,其诊断的不确定性很大。并提议有必要进一步修改DCIS的确诊条件,以确保DCIS患者获得可信的,确切的诊断。
20 DCIS与疫苗
图自 cookie_cutter/Getty
根据2016年在临床癌症研究中发表的一项研究,DCIS的患者有朝一日可能会接种相关疫苗,以降低未来发展为浸润性乳腺癌的风险。
目前仍在进行相关临床试验,研究目标是,疫苗能够刺激免疫系统并保证早期DCIS细胞不会超出乳腺管。
专家表示,如果试验取得成功,疫苗最终可能替代部分患者的手术治疗和放射治疗。
研究进展
自2000年以来,美国联邦政府投入乳腺癌的经费高达123亿美金,相关机构1152家,共开展项目34518个,该方面专家约7628人,专家地图分布如下:
以上数据由LINKMedicine独家提供,更多精细病种分析,请咨询乐美助理,微信号【lemeizhuli】
参考资料:
Health,2018
